ul. Mazowiecka 48 lok. U2, Białystok
Pon-pt: 8-20  Sob: 9-15
Tomografia komputerowa (stożkowa, CBCT, 3D)

Najwyższy standard diagnostyczny w stomatologii, chirurgii szczękowo-twarzowej i laryngologii (3D). Umożliwia najdokładniejszą ocenę zębów oraz kości szczęki i żuchwy, a także stawów skroniowo-żuchwowych, zatok obocznych nosa (przynosowych), ucha środkowego i twarzoczaszki bez kontrastu.

Idealna dla endodoncji, złożonych przypadków implantologicznych, periodontologicznych, chirurgii stomatologicznej oraz szczękowo-twarzowej, a także laryngologii.

Tomograf CBCT Carestream CS 9600 posiada aż 14 pól obrazowania - od 4 cm x 4 cm do 16 cm x 17 cm i jest najnowszym tomografem w rodzinie urządzeń diagnostycznych Carestream Dental. Uzyskiwane z niego obrazy zapewniają maksymalną wartość diagnostyczną przy minimalnej dawce promieniowania, dzięki zastosowaniu techniki tomografii wiązki stożkowej (CBCT).

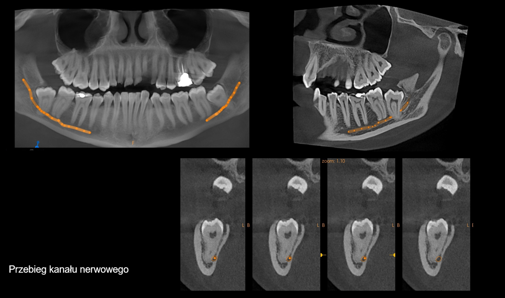
Przedstawiamy poniżej przykładowe badania wykonanane naszym tomografem:

Planowanie implantów

tomografia szczęki w Białymstoku

 tomografia szczęki Białystok

Endodoncja (leczenie kanałowe)

zdjęcie tomograficzne szczęki

Chirurgia stomatologiczna

Chirurgia szczękowa


                      Stawy skroniowo-żuchwowe

                        Periodontologia

 

                        Zatoki oboczne nosa (przynosowe)

Zatoki przynosowe

 

Twarzoczaszka - TK twarzoczaszki bez wzmocnienia kontrastowego Białystok

 

 

                        Ucho środkowe

Ucho środkowe