ul. Mazowiecka 48 lok. U2, Białystok
Pon-pt: 8-20  Sob: 9-15
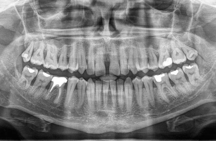
Pantomogram

 

 

Podstawowe badanie RTG w stomatologii. Zdjęcie pantomograficzne zębów, kości szczęki, żuchwy oraz stawów skroniowo-żuchwowych i zatok szczękowych (2D). Pozwala ocenić stan zdrowia przyzębia oraz wszystkich zębów.

Koszt pantomogramu w RTG Mazowiecka to promocyjne 100 zł!

Tomograf CS 9600 Carestream Dental można łatwo regulować. Jest dostosowany do pacjentów w pozycji stojącej lub siedzącej oraz dla osób niepełnosprawnych. Otwarta konstrukcja aparatu, ustawienie pacjenta „twarzą w twarz” z operatorem i wygodne uchwyty ułatwiają prawidłowe pozycjonowanie, a także zapewniają poczucie bezpieczeństwa i brak dyskomfortu.

Pacjenci z pewnością docenią wygodę i szybkość wykonywanych badań. A same badania będą dla nich bezpieczniejsze i wymagające mniejszej dawki w porównaniu z tradycyjnymi panoramicznymi systemami.

Nasza nowa technologia Tomosharp - w połączeniu z pozycjonowaniem opartym na sztucznej inteligencji i najnowocześniejszym algorytmie przetwarzania - zapewnia krystalicznie czyste obrazy panoramiczne.

Nowy algorytm redukuje szumy w obrazie przy jednoczesnym zachowaniu wszelkich szczegółów klinicznych.

Wyjątkowa technologia CS MAR

Automatycznie redukuje metalowe artefakty dla lepszej jakości obrazu, posiada wyjątkową funkcję porównywania obrazów na żywo.